Ung thư tiêu hóa là một trong những loại ung thư gây tử vong hàng đầu trên thế giới. Việc tầm soát ung thư đường tiêu hóa rất quan trọng vì giúp phát hiện bệnh ở giai đoạn sớm, khi khối u còn nhỏ và chưa di căn, từ đó điều trị hiệu quả hơn và giảm nguy cơ tử vong. Nhờ vào tiến bộ của nội soi can thiệp trong điều trị ung thư sớm, việc chẩn đoán và điều trị sớm ung thư ống tiêu hóa trở nên dễ dàng hơn. Vừa qua, nhiều ca ung thư tiêu hóa sớm đã được phát hiện và điều trị kịp thời bằng phương pháp ESD tại Bệnh viện 22-12.
Bệnh nhân H.Th. S (60 tuổi – Nha Trang) tiền sử khỏe mạnh. Một tháng trước thăm khám đau bụng vùng thượng vị. Nội soi phát hiện tổn thương nhô cao vùng hang vị, theo dõi ung thư sớm niêm mạc dạ dày (EGC), polyp phình vị, được cắt tổn thương ung thư sớm vùng hang vị bằng phương pháp ESD, xét nghiệm mô bệnh học kết quả là nghịch sản tuyến dạ dày.


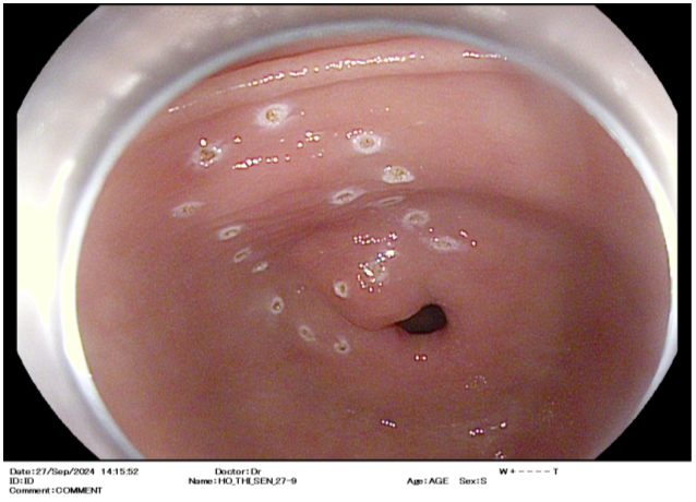
Bệnh nhân L.Th.T (31 tuổi – Nha Trang) hay bị đau bụng, rối loạn đại tiện. Nội soi cách 2 tuần phát hiện đa polyp đại tràng ngang có kết quả giải phẫu bệnh nghịch sản, theo dõi Ung thư sơm đại tràng (ECC), được cắt polyp dẹt, nghịch sản ở đại tràng ngang bằng kỹ thuật ESD và cắt 2 polyp nhỏ bằng COLD SNARE.

Bệnh nhân N.Th.K.L (70 tuổi – Vạn Ninh) đau âm ỉ hạ vị, rối loạn đi cầu, tiền sử nhiều bệnh nền tới khám nội soi phát hiện polyp lớn đại tràng sigma tiếp giáp trực tràng. Nghi ngờ đây là một tổn thương ung thư sớm đường tiêu hoá, ekip nội soi hội chẩn với các chuyên gia. Tại Bệnh viện 22-12, bệnh nhân được phẫu tích dưới niêm mạc cắt polyp lớn niêm mạc trực tràng bằng phương pháp HYBRID ESD, xét nghiệm mô bệnh học kết quả là u tuyến ống nghịch sản độ thấp đại tràng.

Ung thư tiêu hóa thường tiến triển âm thầm, với các triệu chứng ban đầu mờ nhạt và dễ bị nhầm lẫn với các bệnh lý khác. Khi các triệu chứng điển hình như đau bụng kéo dài, chán ăn, rối loạn đại tiện và sút cân xuất hiện, bệnh thường đã ở giai đoạn muộn. Các chuyên gia khuyến cáo người dân nên khám sức khỏe định kỳ và nội soi tiêu hóa ít nhất một lần mỗi năm, đặc biệt đối với người từ 40 tuổi trở lên.
Trong những năm gần đây, Bệnh viện 22-12 đã phát hiện sớm và điều trị cho nhiều ca ung thư tiêu hóa nhờ áp dụng hệ thống trang thiết bị nội soi hiện đại từ Nhật Bản và đội ngũ y bác sĩ giàu kinh nghiệm. Việc tầm soát sớm và can thiệp kịp thời đã giúp ngăn ngừa nguy cơ ung thư tiến triển, cải thiện chất lượng cuộc sống cho người bệnh. Ngoài ra, khoa Nội soi tiêu hóa còn triển khai nhiều kỹ thuật mới như Đo pH thực quản để chẩn đoán trào ngược dạ dày, Nội soi viên nang tích hợp trí tuệ nhân tạo (AI) giúp phát hiện sớm các bệnh lý ở ruột non mà các phương tiện khác không khảo sát được.














