PHẪU THUẬT NỘI SOI CẤP CỨU THÀNH CÔNG TRƯỜNG HỢP “VIÊM RUỘT THỪA CẤP CHO BỆNH NHÂN BỊ XẸP TOÀN BỘ PHỔI TRÁI DI CHỨNG CỦA LAO PHỔI TỪ 20 NĂM TRƯỚC”
Bệnh nhân (BN) H.T.O.U (39 tuổi, đ/c: Phường Tân Thới Hiệp, quận 12, TP HCM) nhập viện với triệu chứng đau bụng âm ỉ hố chậu phải từ 2 ngày trước đó, không nôn, không sốt, ăn uống đại tiểu tiện bình thường. BN đã đi khám tại cơ sở y tế gần nơi tạm trú và được chẩn đoán: viêm ruột thừa cấp, chỉ định phẫu thuật cấp cứu (mổ mở), nhưng BN xin chuyển đến bệnh viện 22-12 để điều trị.
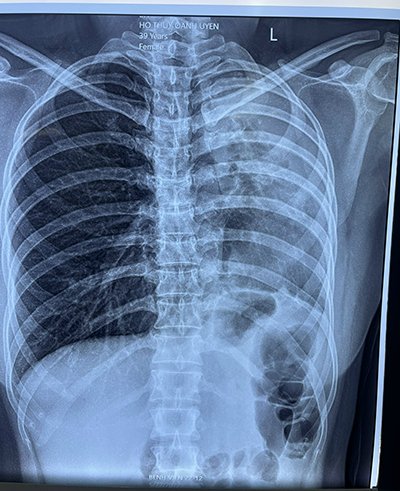
Sau khi khám và kiểm tra lâm sàng, bác sĩ khoa Ngoại tổng quát chẩn đoán: Bệnh nhân viêm ruột thừa cấp/ xẹp phổi trái. Lao phổi cũ.
Bác sĩ Hoàng Ngọc Sơn – Phó khoa Ngoại tổng quát Bệnh viện 22-12 cho biết: “Thông thường phẫu thuật nội soi cắt ruột thừa viêm, BN được gây mê nội khí quản, với nhiều ưu điểm: duy trì sự thông thoáng của đường thở, kiểm soát tốt hô hấp và tuần hoàn ở mọi tư thế, hút khí quản dễ dàng trong và sau mổ, bệnh nhân ngủ sâu, thuận lợi cho bơm hơi ổ bụng phục vụ cho cuộc mổ. Tuy nhiên đối với trường hợp của BN này có xẹp phổi trái, lao phỗi cũ, gây mê nội khí quản tiềm ẩn nhiều nguy cơ, nên một số bác sĩ có thể sẽ lựa chọn gây tê tủy sống và mổ mở cho BN. Tại Bệnh viện 22-12, bệnh nhân được gây tê tủy sống, kèm theo tiền mê để tiến hành phẫu thuật nội soi. Đây là phương án tốt nhất cho bệnh nhân ”

Ca mổ diễn ra nhanh chóng, thuận lợi, an toàn.
Ekip phẫu thuật gồm: Bs. Hoàng Ngọc Sơn (phẫu thuật viên chính); Bs. Bùi Anh Đào; Bs. Vũ Văn Huy (gây mê)
BN hồi phục tốt sau mổ, ăn uống đi lại bình thường và xuất viện sau 72h.
Viêm ruột thừa cấp là bệnh cấp cứu ngoại khoa thường gặp. Viêm ruột thừa là tình trạng ruột thừa bị viêm. Bệnh có thể gặp ở người lớn, trẻ nhỏ. Nếu không khám và điều trị kịp thời dẫn đến nhiều biến chứng nguy hiểm: Viêm phúc mạc toàn bộ, áp xe ruột thừa, thủng ruột thừa, đám quánh ruột thừa, nhiễm khuẩn huyết… đe dọa tới tính mạng của bệnh nhân
Khi có các triệu chứng đau bụng liên tục trong vài giờ, đau hơn khi xoay người/ đi lại hoặc khi bị đụng vào, người bệnh nên đến các cơ sơ y tế để khám và điều trị kịp thời.
Phẫu thuật nội soi vẫn đang là một trong những mũi nhọn của Bệnh viện 22-12. Với đội ngũ bác sĩ chuyên khoa nhiều kinh nghiệm trong lĩnh vực ngoại tiêu hóa gan mật, cùng hệ thống phòng mổ sạch sẽ, vô khuẩn một chiều, trang thiết bị y tế hiện đại, đảm bảo phục vụ tốt nhất cho công tác khám và điều trị cho bệnh nhân.
Bệnh viện 22-12 là một trong những bệnh viện không những đảm bảo chất lượng chuyên môn với đội ngũ y bác sĩ đầu ngành, hệ thống trang thiết bị công nghệ hiện đại. Bệnh viện cung cấp dịch vụ khám, tư vấn và chữa bệnh toàn diện, chuyên nghiệp, không gian khám chữa bệnh văn minh, lịch sự, an toàn và tiệt trùng tối đa.
Theo dõi fanpage của Bệnh viện 22-12 để cập nhật nhiều thông tin bổ ích. Để được tư vấn, Quý Khách vui lòng liên hệ 0769 115 115 – 0258 352 8857














